Сосудистые патологии на лице есть у каждого третьего — такова статистика. С возрастом проблема становится ещё более выраженной, впрочем, так работает почти со всем на свете. Никакой критической угрозы разнообразные по форме и размеру звёздочки, паутинки и сеточки из капилляров не представляют. А вот общую картину портят и ещё как.
Данная эстетическая проблема очень распространённая и актуальная. Поэтому сегодня мы побеседовали с дерматовенерологом-косметологом, экспертом по инъекционным и аппаратным методикам омоложения клиники PROFESSIONAL в Волгограде Татьяной Петровной Керус, которая знает о куперозе всё и о том, как избавиться от этого надоедливого недоразумения.
— Начнём с того, что учёные уже много лет бьются в попытках понять, что же именно вызывает купероз у пациентов по всему миру. На данный момент есть рекомендации, которые следует соблюдать в качестве профилактики, очерчены провоцирующие факторы и есть чёткие протоколы по «стиранию» телеангиэктазий с поверхности кожи при помощи достижений современной косметологии, — начала Татьяна Петрова.
Таким образом, борьба с сосудистыми патологиями заключается в их максимально эффективном и комфортном эстетическом устранении на определённое время. То есть, если после удаления косметического несовершенства не исключить провоцирующие факторы, то вскоре процедуры придётся повторять.
Немного матчасти. Купероз — это симптом, а не самостоятельная болезнь, который заключается в чрезмерной хрупкости капиллярных стенок и локального нарушения кровообращения, которые приводят к появлению телеангиэктазий на коже лица — того самого сосудистого рисунка в виде паутинок, сеточек или звёздочек. Чётких причин развития купероза не знают, да — он нередко сопровождает людей с сердечно-сосудистыми заболеваниями и физиологическими гормональными нарушениями. Впрочем, у по факту здоровых пациентов телеангиэктазии тоже бывают и очень часто.

— Пациентам с предрасположенностью к появлению телеангиэктазий на лице нужно избегать долгого пребывания на морозе или жаре, ветру, посещения саун и бань. Вредные привычки, несбалансированное питание и чрезмерная любовь к солнечным ваннам (то есть ультрафиолету) также нарушают эластичность сосудистых стенок. Впрочем, нарушают они ещё много чего, так что эти замечания более, чем просто универсальные, — пояснила дерматовенеролог-косметолог.
В связи со всем вышесказанным становится ясно, что никакие крема и витамины, например, рутин, от купероза не спасут. Да, приём определённых медикаментов и использование домашней космецевтики никто не отменял, но это не панацея от слова совсем. Скорее дополнение к комплексу мероприятий. А они весьма простые и понятные: помимо соблюдения некоторых рекомендаций, нужно регулярно посещать косметолога и тогда телеангиэктазии перестанут быть тревожащей проблемой.

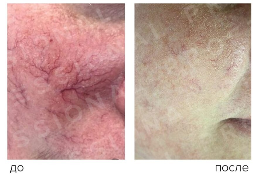
Дело в том, что если сосуд уже повредился и выступил на поверхность кожи в виде красно-фиолетовой линии, то убрать его можно только коагуляцией. То есть «запаиванием» при помощи средств современной косметологии. И тут в ход идут две основных методики: это интенсивный импульсный свет (IPL) или проще говоря фототерапия на аппаратах Lumenis M22 или BBL от Sciton, а также коррекция эрбиевым лазером LinLine. Световое воздействие более мягкое и за курс из 3-4 сеансов постепенно убирает надоедливые звёздочки, а вот лазер уже более агрессивный: тут эффекта можно добиться даже за одну процедуру.

— Помимо борьбы с куперозом, фототерапия оказывает общее омолаживающее воздействие. Интенсивный импульсный свет убирает пигментные пятна, сужает поры, сокращает выраженность морщин, обеспечивает лёгкий лифтинг-эффект. В общем, улучшает общее состояние кожи и её внешний вид подобно наложенному в реальной жизни фотофильтру. Лазер LinLine же бьёт прицельно по каждому сосуду. Это самый адекватный способ коагуляции, оставивший позади другие болезненные и не столь действенные методики, — пояснила Татьяна Керус.
Кстати, изобилие сосудистых звёздочек на лице часто путают с розацеа (розовые угри). А это уже совсем другое. Розацеа — это полноценное хроническое заболевание кожи с периодами обострений и ремиссий. И возникновение телеангиэктазий в этом случае лишь один из симптомов, помимо, например, появления гнойных пустул. Болезнь серьёзная и требует тщательного комплексного лечения. А вот купероз — это просто некрасиво и портит всю эстетику.

— В качестве поддерживающей терапии я назначаю своим пациентам с куперозом микротоковую терапию и криолифтинг для лимфодренажного эффекта, это позволяет снимать перегрузку сосудистого русла. А также основные инъекционные методики: ботулинотерапию, биоревитализацию и коллагенотерапию. Они работают не конкретно с этой проблемой, а комплексно, оказывая общее положительное воздействие на мягкие ткани. Чем обеспечивают общий эффект улучшения эстетики, — подытожила врач.
Кстати, о результатах. После коагуляции, при соблюдении рекомендаций, надоедливые звёздочки исчезают весьма надолго. Поэтому бороться с данной неприятностью по факту совсем нетрудно, если не вступать с нею в открытую конфронтацию. То есть нужно просто убрать провоцирующие факторы, о которых было сказано выше, и взять за привычку посещать косметолога минимум дважды в год — осенью и весной (для профилактики) — и тогда куперозу можно-таки будет сказать уверенное «нет».
Запишитесь на первичный прием врача-косметолога (осмотр, консультация) по телефону, указанному на нашем сайте и получите индивидуальную программу по решению вашей проблемы!